Τι είναι απονεύρωση δοντιού;
Απονεύρωση δοντιού είναι η θεραπεία που πραγματοποιείται από τον οδοντίατρο / ενδοδοντολόγο με σκοπό να “σωθεί” ένα δόντι που έχει κατεστραμμένο ή νεκρό πολφό.
Απονεύρωση, όπως το λέει και η λέξη, είναι η αφαίρεση του νεύρου του δοντιού. Η απονεύρωση λέγεται επίσης και ενδοδοντική θεραπεία, γιατί είναι μια θεραπεία η οποία πραγματοποιείται στο εσωτερικό του δοντιού.
Τι είναι ο πολφός;
Ας φανταστούμε ότι κάθε δόντι έχει 3 στοιβάδες. Στην εξωτερική στοιβάδα βρίσκεται το σμάλτο του δοντιού (αδαμαντίνη). Όσο προχωρούμε πιο μέσα υπάρχει ένα είδος σκληρού ιστού που ονομάζεται οδοντίνη. Στην τελευταία εσωτερική στοιβάδα, η οποία βρίσκεται στο κέντρο του δοντιού, υπάρχει ένας μικρός ιστός σαν κλωστή που λέγεται πολφός.
Ο πολφός αποτελείται από νεύρα, αγγεία, συνδετικό ιστό και κύτταρα. Κύρια λειτουργία του πολφού είναι η παροχή αίσθησης καθώς και η θρέψη του δοντιού. Γι αυτούς τους λόγους ο πολφός είναι και το ζωντανό κομμάτι του δοντιού. Σε περίπτωση νέκρωσης ή φλεγμονής του πολφού, νεκρώνεται ή φλεγμαίνει και το αντίστοιχο δόντι.
Πότε χρειάζεται ένα δόντι απονεύρωση;
Ο Οδοντίατρος (ενδοδοντολόγος) προβαίνει στην ενδοδοντική θεραπεία όταν διαπιστωθεί φλεγμονή ή και νέκρωση του πολφικού ιστού. Oι κύριες αιτίες που μπορούν να προκαλέσουν τη μόλυνση του πολφού είναι:
- Εκτεταμένη / βαθιά τερηδόνα, η οποία έχει διαπεράσει την οδοντίνη και έχει προσβάλλει τον πολφό (νεύρο του δοντιού).

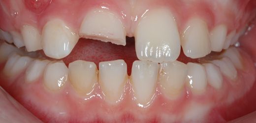
- Εκτεταμένο κάταγμα του δοντιού, με αποτέλεσμα να αποκαλύπτεται ο πολφός (νεύρο). Η αποκάλυψη του πολφού και η έκθεση του μέσα στη στοματική κοιλότητα σημαίνει και τη μόλυνση του, με αποτέλεσμα στη συνέχεια το δόντι να παρουσιάζει έντονη φλεγμονή και να πονάει.

- Δεν είναι λίγες οι φορές, που ασθενείς με περιοδοντίτιδα (νόσος των ούλων και του οστού γύρω από το δόντι) εμφανίζουν ακρορριζικά αποστήματα (απόστημα στο άκρο της ρίζας του δοντιού), τα οποία θεραπεύονται με απονεύρωση . Στην προκειμένη περίπτωση τα μικρόβια που υπάρχουν στους περιοδοντικούς θυλάκους, είναι δυνατόν να περάσουν από την τρύπα που υπάρχει στο άκρο της ρίζας του δοντιού και να εισχωρήσουν στους ριζικούς σωλήνες (ρίζες του δοντιού). Αποτέλεσμα είναι η μόλυνση του πολφού (εσωτερικό του δοντιού), η οποία μπορεί να αντιμετωπιστεί μόνο με την ενδοδοντική θεραπεία.

-
Δόντια με παλιά σφραγίσματα (με ατελή όρια) είναι δυνατόν να εμφανίσουν φλεγμονή του πολφού. Στην περίπτωση αυτή ένα παλιό σφράγισμα με ατελή όρια δεν κλείνει πλέον ερμητικά το δόντι και επομένως τα τερηδονογόνα μικρόβια βρίσκουν δίοδο και εισέρχονται στο εσωτερικό του δοντιού. Στη συνέχεια περνούν στον πολφό του δοντιού και τον μολύνουν.
Ποιός είναι ο σκοπός της απονεύρωσης;
Σκοπός της απονεύρωσης είναι η αφαίρεση του φλεγμαίνοντος ή νεκρού πολφικού ιστού, ο καθαρισμός και η απολύμανση τόσο της πολφικής κοιλότητας (που βρίσκεται στη μύλη του δοντιού) όσο και των ριζικών σωλήνων (που βρίσκονται μέσα στις ρίζες του δοντιού). Εφόσον οι ριζικοί σωλήνες είναι καθαροί και κατάλληλα διαμορφωμένοι εμφράσσονται από τους ενδοδοντιστές / ενδοδοντολόγους με γουταπέρκα ένα ελαστικό υλικό, που μοιάζει με καουτσούκ. Σκοπός της έμφραξης του ριζικού σωλήνα είναι η αποφυγή επαναμόλυνσης του πολφού.
Ποιά είναι τα συμπτώματα / ενδείξεις ότι ένα δόντι χρειάζεται απονεύρωση;
Τα συμπτώματα που εμφανίζει ένα δόντι που πιθανόν χρειάζεται απονεύρωση ποικίλουν κατά περίπτωση του κλινικού περιστατικού.
- Συνήθως τα συμπτώματα ξεκινούν με ευαισθησία του δοντιού, δεδομένου οτι η βλάβη (τερηδονική) εκετείνεται ως το νεύρο του δοντιού (πολφός του δοντιού)
- Εφόσον η τερηδόνα δεν αντιμετωπιστεί εγκαίρως, τα συμπτώματα αρχίζουν να γίνονται εντονότερα. Αυτό σημαίνει οτι το δόντι πονάει, μετά απο κάποιο ερέθισμα π.χ. μάσηση τροφής, λήψη κρύου ή ζεστού ροφήματος. Ο πόνος αυτός δεν περνά αμέσως μετά από την παύση του ερεθίσματος, αλλά συνεχίζει να υπάρχει για μερικά λεπτά. Αυτό σημαίνει οτι μπορεί ο ασθενής να έχει σταματήσει το μάσημα μιας τροφής και ο πόνος να παραμένει. Όσο περισσότερη ώρα διαρκεί ο πόνος μετά από το πέρας του ερεθίσματος, τόσο μεγαλύτερη είναι η πιθανότητα οτι η βλάβη του δοντιού εκτείνεται στο νεύρο του δοντιού.
- Σε πιο προχωρημένο στάδιο ο πόνος μπορεί να εμφανίζεται ξαφνικά / αυθόρμητα χωρίς την παρουσία κάποιου ερεθίσματος. Η ένταση του πόνου κορυφώνεται συνήθως κατά τη διάρκεια της νύχτας. Είναι πιθανόν μετά από κάποιες μέρες ο πόνος να σταματήσει. Αυτό δε σημαίνει ότι το δόντι ησύχασε, αλλά οτι ο πολφός ( νεύρο ) του δοντιού έχει νεκρωθεί.
Σε πιο προχωρημένα περιστατικά είναι πιθανόν να εμφανιστούν τα παρακάτω συμτώματα:
-
- Δημιουργία συριγγίου κοντά στο προβληματικό δόντι

- Δημιουργία συριγγίου κοντά στο προβληματικό δόντι
-
- Εκροή πύου και απόστημα δοντιού

- Εκροή πύου και απόστημα δοντιού
-
- Οίδημα του προσώπου
-
- και τέλος αποχρωματισμός του δοντιού λόγω νέκρωσης του
Ποια είναι η διαδικασία της απονεύρωσης;
- Αρχικά ο οδοντίατρος εφόσον χρειάζεται αναισθητοποιεί την περιοχή γύρω από το δόντι, στο οποίο θα πραγματοποιηθεί η απονεύρωση
- Τοποθετείται ένα ειδικό λάστιχο, που λέγεται απομονωτήρας

- Ακολουθεί η διάνοιξη του δοντιού και η εύρεση των ριζικών σωλήνων (ριζών του δοντιού)

- Ο ενδοδοντολόγος στη συνέχεια επεξεργάζεται μηχανικά και χημικά το δόντι. Με τον όρο μηχανική επεξεργασία εννοείται ο καθαρισμός των ριζικών σωλήνων με τα μικροεργαλεία της ενδοδοντίας. Στη σύγχρονη οδοντιατρική χρησιμοποιούνται κυρίως μηχανοκίνητα εργαλεία για την εκτέλεση της απονεύρωσης, χωρίς βέβαια να αποκλείεται και η χρήση των εργαλείων χειρός. Επίσης οι ριζικοί σωλήνες καθαρίζονται και χημικά με τα υγρά διακλυσμών. Τα υγρά αυτά είναι ειδικά απολυμαντικά υγρά με τα οποία ο οδοντίατρος απομακρύνει μικρόβια, νεκρούς ιστούς και κύτταρα από το εσωτερικό των ριζών.


- Οι ριζικοί σωλήνες στεγνώνονται και τοποθετείται ειδικό φάρμακο στο εσωτερικό των ριζικών σωλήνων, το οποίο διατηρείται μέχρι την επόμενη συνεδρία.
- Η συνέχεια της θεραπείας στην επόμενη συνεδρία είναι ξεχωριστή σε κάθε ασθενή και εξαρτάται από τους παρακάτω παράγοντες:
Αν το δόντι είναι ασυμτωματικό και ο ασθενής δεν πονά η απονεύρωση μπορεί να ολοκληρωθεί με την έμφραξη των ριζικών σωλήνων με ειδικό εμφρακτικό υλικό, που λέγεται γουταπέρκα. Η γουταπέρκα μαζί με ένα φύραμα επιλογής του ενδοδοντολόγου τοποθετείται στο εσωτερικό των ριζικών σωλήνων και τους εμφράσσει ερμητικά. Η έμφραξη πρέπει να εκτείνεται σε όλο το μήκος της ρίζας του δοντιού και να είναι συμπαγής.


Αν το δόντι έχει ακόμη συμπτώματα τότε ο οδοντίατρος εκτελεί για ακόμη μία φορά την χημικομηχανική επεξεργασία του δοντιού, τοποθετεί πάλι φάρμακο και προγραμματίζεται μία νέα συνεδρία. Όταν το δόντι παύσει να πονά , τότε ο ενδοδοντολόγος θα προχωρήσει στην έμφραξη των ριζικών σωλήνων του δοντιού.
- Σε επόμενη συνεδρία πραγματοποιείται η αποκατάσταση του δοντιού, η οποία πραγματοποιείται με λευκό σφράγισμα ρητίνης ή με στεφάνη (θήκη δοντιού), ανάλογα πάντα με την έκταση της οδοντικής βλάβης.
Πονάει η απονεύρωση δοντιού ;
Η θεραπεία της απονεύρωσης δεν πονάει, εφόσον βέβαια έχει προηγηθεί αναισθησία της περιοχής. Σε περιστατικά τα οποία ένα δόντι έχει έντονη φλεγμονή (δηλαδή ο ασθενής δεν επισκέφτηκε άμεσα τον οδοντίατρο, αλλά περίμενε αρκετό καιρό με πονεμένο δόντι), υπάρχει η πιθανότητα ο ασθενής να αισθανθεί μία ενόχληση κατά την αρχική διάνοιξη του δοντιού. Η ανεπιθύμητη αυτή αίσθηση είναι παροδική και συνήθως δε διαρκεί παραπάνω από δευτερόλεπτα μέχρι ο οδοντίατρος να κάνει τις απαραίτητες ενέργειες.
Πόσα ραντεβού χρειάζονται για να ολοκληρωθεί η διαδικασία της απονεύρωσης δοντιού;
Ανάλογα με τη δυσκολία του κάθε δοντιού και το βαθμό φλεγμονής του, απαιτούνται συνήθως 2 ραντεβού για την ολοκληρωμένη απονεύρωση ενός δοντιού. Αυτό γιατί όταν ένα δόντι είναι νεκρό και ο ασθενής επισκεφτεί τον οδοντίατρο με έντονο πόνο είναι καλό να πραγματοποιείται μία δεύτερη συνεδρία και να μεσολαβεί ένα διάστημα 5- 7 ημερών. Στο διάστημα αυτό ο ενδοδοντολόγος έχει τοποθετήσει ειδικό φάρμακο στη ρίζα του δοντιού και το αφήνει να δράσει, ώστε να επιτευχθούν τα μέγιστα αποτελέσματα αντισηψίας του δοντιού.
Σε περιπτώσεις που ένα δόντι είναι ζωντανό, υπάρχει η επιστημονική άποψη τα τελευταία χρόνια οτι η ενδοδοντική θεραπεία μπορεί πράγματι να ολοκληρωθεί σε μία και μόνο συνεδρία. Εφόσον όμως πρόκειται για απονεύρωση δοντιού, με όλους τους κινδύνους που εγκυμονεί αυτή η οδοντιατρική θεραπεία, προτείνεται ακόμα και σε ζωντανά δόντια να πραγματοποιείται και μία δεύτερη συνεδρία για να μπορέσουν να δράσουν στο εσωτερικό του δοντιού τα ειδικά αντισυπτικά φάρμακα.
Όσον αφορά την τελική αποκατάσταση του δοντιού με λευκό σφράγισμα ή θήκη δοντιού, αυτή πραγματοποιείται σε δεύτερη φάση, εφόσον είναι σίγουρο οτι το δόντι παραμένει ασυμπτωματικό.
Πόση ώρα διαρκεί το κάθε ραντεβού για την απονεύρωση δοντιού ;
Μία συνεδρία απονεύρωσης δοντιού διαρκεί συνήθως 45 λεπτά. Η διάρκεια ενός ραντεβού εξαρτάται από πολλούς παράγοντες όπως:
- Το αριθμό των ριζικών σωλήνων του δοντιού
- Τη θέση του δοντιού
- Ιδιαιτερότητες στη μορφολογία (π.χ. έντονα κεκαμμένοι ριζικοί σωλήνες) ή στην ανατομία του δοντιού (ενασβεστιωμένοι ριζικοί σωλήνες)
- Τη συνεργασία του ασθενή
Είναι σημαντικό ο ασθενής να έχει υπόψιν οτι κάθε δόντι είναι ένα διαφορετικό περιστατικό και είναι δύσκολο ο οδοντίατρος να προκαθορίσει πόσο διαρκεί ένα ραντεβού απονεύρωσης. Σε γενικές γραμμές δεν ξεπερνά τη διάρκεια μιας ώρας. Άλλωστε το γρήγορο δε σημαίνει πάντα οτι είναι και καλό.
Μετά την απονεύρωση ή ενδιάμεσα από τα ραντεβού της απονεύρωσης θα συνεχίσω να πονάω;
Απονεύρωση χρειάζεται συνήθως ένα δόντι, στο οποίο η φλεγμονή ήταν βαθιά και έφτανε στο ύψος του νεύρου του δοντιού. Αυτό σημαίνει οτι επρόκειτο για ένα ιδιαίτερο πονεμένο δόντι. Μετά την ολοκλήρωση της ενδοδοντικής θεραπείας ή μετά από το πρώτο ραντεβού της απονεύρωσης δοντιού είναι δυνατόν ο ασθενής να αισθάνεται έναν ήπιο πόνο ή δυσφορία, τα οποία όμως είναι ανεκτά και αντιμετωπίζονται με αντιφλεγονώδη ή αναλγητικά φάρμακα. Τα συμπτώματα αυτά είναι αναμενόμενα και υποχωρούν άμεσα τις επόμενες μέρες μετά το πρώτο ραντεβού ή την ολοκλήρωση της θεραπείας. Σε διάρκεια μιας εβδομάδας (στο μεγαλύτερο ποσοστό των περιπτώσεων) από το πέρας της ενδοδοντικής θεραπείας τα απονευρωμένα δόντια είναι ασυμπτωματικά και ο ασθενής δεν υποφέρει πλέον από ενοχλήσεις. Προτείνεται βέβαια ο ασθενής να μη μασάει με το απονευρωμένο δόντι μέχρι να ολοκληρωθεί η τελική αποκατάσταση του δοντιού (με λευκό σφράγισμα ή με θήκη δοντιού).
Θα πρέπει να γίνει κατανοητό οτι στη σύγχρονη οδοντιατρική με την πληθώρα φαρμάκων που έχει ο οδοντίατρος στη διάθεσή του τα συμπτώματα πόνου είναι άμεσα αντιμετωπίσιμα και ο ασθενής δε χρειάζεται πλέον να υποφέρει και να κάνει υπομονή.
Είναι απαραίτητη η λήψη αντιβίωσης κατά τη διάρκεια της απονεύρωσης δοντιού;
Τα παλαιότερα χρόνια ήταν πολύ συνηθισμένο ως και καθιερωμένο ο ασθενής που πραγματοποιεί απονεύρωση δοντιού να λαμβάνει υποστηρικτικά και αντιβίωση. Σύμφωνα με τα σύγχρονα οδοντιατρικά δεδομένα η λήψη αντιβίωσης κατά της διάρκεια ενδοδοντικής θεραπείας δεν είναι απαραίτητη, παρά μόνο σε περιπτώσεις έντονης φλεγμονής που συνοδεύεται από την ύπαρξη οιδήματος, συριγγίου κ.α. Σήμερα ένα πονεμένο δόντι αντιμετωπίζεται με την πολύ προσεχτική και ενδελεχή χημικομηχανική επεξεργασία του δοντιού, γεγονός που εξασφαλίζει την καλύτερη δυνατή αντισηψία των ριζών του δοντιού από μικρόβια,νεκρά κύτταρα, τοξίνες μικροβίων κ.α.
Μπορεί η απονεύρωση δοντιού να γίνει χωρίς αναισθησία;
Η μόνη περίπτωση κατά την οποία η απονεύρωση δοντιού μπορεί να γίνει χωρίς ένεση είναι όταν το δόντι είναι νεκρό. Παρόλα αυτά ένας ευαίσθητος ασθενής μπορεί να ενοχληθεί τόσο κατά τη διάνοιξη του δοντιού όσο και κατά την επεξεργασία των ριζικών σωλήνων του δοντιού. Γι αυτό το λόγο προτείνεται η χορήγηση έστω μιας μικρής δόσης αναισθητικού, ώστε ο ασθενής να μην αισθάνεται το παραμικρό που πραγματοποιείται στο στόμα του.
Γιατί τα απονευρώμενα δόντια χρειάζονται άξονα και θήκη δοντιού;
Καταρχάς θα πρέπει να ξεκαθαριστεί οτι δεν είναι απαραίτητο όλα τα απονευρωμένα δόντια να προστατευτούν με θήκη / στεφάνη δοντιού. Η θήκη είναι απαραίτητη όταν λείπει μεγάλο τμήμα του δοντιού (λόγω τερηδόνας ή κατάγματος) και μετά την ενδοδοντική θεραπεία (απονεύρωση) είναι αναγκαίο το δόντι να προστατευτεί με θήκη για να αποκατασταθεί η σωστή λειτουργία του δοντιού μέσα στο στόμα του ασθενή. Σε περιπτώσεις ακόμη μεγαλύτερων οδοντικών ελλειμμάτων προτείνεται και η τοποθέτηση ενός άξονα, όχι για να “κάνει το δόντι πιο δυνατό” αλλά για να μπορέσει να πραγματοποιηθεί η ανασύσταση του δοντιού και να τοποθετηθεί στη συνέχεια η θήκη από επάνω για την πλήρη προστασία του δοντιού. Αν το δόντι δεν είναι πολύ κατεστραμμένο, τότε η αποκατάσταση του μπορεί να γίνει και με ένα απλό λευκό σφράγισμα δοντιού.
Ο ασθενής θα πρέπει να καταλάβει οτι κάθε δόντι αποτελεί ξεχωριστό περιστατικό και οι οδοντίατροι αποφασίζουν τον τρόπο αποκατάστασής ενός δοντιού κάθε φορά διαφορετικά ανάλογα με τις ανάγκες του κάθε δοντιού. Γενικότερα ισχύει οτι μικρά οδοντικά ελλείμματα αντιμετωπίζονται με μικρές επεμβατικές και οικονομικές λύσεις συγκριτικά με βαθιά κατεστραμμένα δόντια.
Μπορεί να γίνει απονεύρωση σε φρονιμίτη;
Η απονεύρωση φρονιμίτη δεν αποτελεί θεραπεία ρουτίνας, για το λόγο οτι είναι μία χρονοβόρα διαδικασία με υψηλό κόστος σε ένα δόντι, το οποίο στους περισσότερους ασθενείς δεν υπάρχει. Η μόνη περίπτωση κατά την οποία ο οδοντίατρος θα πραγματοποιήσει απονεύρωση σε φρονιμίτη, είναι όταν ο φρονιμίτης αποτελεί το μοναδικό ακραίο στήριγμα στο στόμα του ασθενή και χρειάζεται για την εκτέλεση κάποιας προσθετικής εργασίας. Διαφορετικά οι βαθιά τερηδονισμένοι φρονιμίτες αφαιρούνται με εξαγωγή.
Γιατί μαυρίζει ένα μπροστινό δόντι μετά από απονεύρωση; Πως μπορεί να αντιμετωπιστεί;
Πολλές φορές οι ασθενείς αναφέρουν οτι το μπροστινό τους δόντι μαύρισε μετά από το πέρας της ενδοδοντικής θεραπείας. Πράγματι κάτι τέτοιο είναι πιθανόν να συμβεί, εφόσον υπολείμματα γουταπέρκας (υλικό έμφραξης των ριζών του δοντιού) στη μύλη του δοντιού μπορούν να προκαλέσουν τον αποχρωματισμό / “μαύρισμα” του δοντιού. Είναι σημαντικό λοιπόν όταν ο οδοντίατρος πραγματοποιεί την απονεύρωση να καθαρίζει πολύ καλά και να μην αφήνει υπολείμματα γουταπέρκας στο μύλη του δοντιού. Σε περίπτωση που πράγματι μαυρίσει ένα πρόσθιο δόντι ο ενδοδοντολόγος μπορεί να το διορθώσει και να επαναφέρει το αρχικό όμορφο λευκό χρώμα του δοντιού. Η διαδικασία είναι απλή και πραγματοποιείται με εσωτερική λεύκανση του εν λόγω δοντιού. Αν το δόντι δεν “ανοίγει “ χρωματικά τότε για αισθητικούς λόγους μπορεί να πραγματοποιηθεί όψη ή θήκη δοντιού.
Επιτρέπεται η απονεύρωση δοντιού κατά την εγκυμοσύνη και το θηλασμό;
Γενικότερα συστήνεται η αποφυγή των οδοντιατρικών πράξεων κατά την εγκυμοσύνη, πόσο μάλλον της απονεύρωσης δοντιού που για την ολοκλήρωσή της απαιτούνται 3- 4 ακτινογραφίες. Παρόλα αυτά αν μία εγκυμονούσα έχει ένα δόντι που είναι βαθιά τερηδονισμένο και χρειάζεται απονεύρωση για τη θεραπεία του, τότε στην περίπτωση αυτή πραγματοποιείται η πρώτη συνεδρία της απονεύρωσης ώστε η κυοφορούσα γυναίκα να ανακουφιστεί από τον πόνο, δεδομένου οτι δεν μπορεί να πάρει αντιβίωση. Η άμεση επέμβαση του οδοντιάτρου είναι απαραίτητη σε περίπτωση έντονων ενοχλήσεων σε μία εγκυμονούσα, γιατί είναι γνωστό οτι ο πόνος και το σφίξιμο μπορούν να προκαλέσουν ακόμη και αποβολή του εμβρύου.
Όσον αφορά το θηλασμό εκεί τα δεδομένα είναι λίγο πιο εύκολα, εφόσον σύμφωνα με το γερμανικό οργανισμό θηλασμού η απονεύρωση επιτρέπεται χωρίς κανένα περιορισμό (παρά μόνο απαγορεύονται κάποια σκευάσματα αντιβιώσεων) και στη φάση αυτή είναι δυνατόν να πραγματοποιηθεί και ακτινογραφία δοντιού.
Το “προλαμβάνειν” όμως αποτελεί το καλύτερο “θεραπεύειν”, γι αυτό μία γυναίκα η οποία έχει στο μυαλό της να τεκνοποιήσει το επόμενο διάστημα είναι καλό να προβαίνει σε έναν οδοντιατρικό έλεγχο.
Απονεύρωση σε παιδικά δόντια
Όσον αφορά την απονεύρωση στα παιδιά τα θεραπευτικά δεδομένα είναι τελείως διαφορετικά. Σύμφωνα με γερμανικά παιδοδοντιατρικά πρωτόκολλα όταν ένα παιδικό δοντάκι είναι βαθιά χαλασμένο πραγματοποιείται η “παιδική απονεύρωση”, η λεγόμενη πολφοτομή, η οποί είναι μία διαδικασία πολύ πιο απλή και ανώδυνη από την αντίστοιχη απονεύρωση των ενηλίκων. (Για περισσότερες πληροφορίες βλέπε Απονεύρωση (πολφοτομή) δοντιού σε παιδιά).
Πόσο κοστίζει μια απονευρωση δοντιου;
Το κόστος μιας απονεύρωσης δεν είναι ίδιο για όλα τα δόντια, δεδομένου οτι κάθε περιστατικό είναι και διαφορετικό. Για να γίνει κατανοητό θα πρέπει ο ασθενής να έχει στο νου οτι μπορεί ένα δόντι να έχει μία, δύο ή τρεις ρίζες. Επομένως αναλόγως με τον αριθμό των ριζών ενός δοντιού αυξάνει και το κόστος της απονεύρωσης.
Επίσης ένα άλλο δόντι μπορεί να έχει ιδιαίτερη μορφολογία ή ανατομία και να απαιτείται περισσότερος χρόνος και ιδιαίτερα εργαλεία για την ολοκλήρωση της απονεύρωσης, οπότε και πάλι αυξάνει το κόστος θεραπείας του δοντιού. Τέλος η επανάληψη απονεύρωσης είναι μία θεραπεία που κοστίζει περισσότερο συγκριτικά με μία κοινή απονεύρωση δοντιού, εφόσον απαιτεί ιδιαίτερη τεχνογνωσία, εξειδικευμένα εργαλεία και υλικά από την πλευρά του ενδοδοντολόγου.
Συνεπώς είναι δύσκολο ο οδοντίατρος να προκαθορίσει το κόστος μιας απονεύρωσης δοντιού προτού να εξετάσει τον ασθενή και να προσδιορίσει τον αριθμό των ριζών, τη μορφολογία και την ανατομία του δοντιού.
Επανάληψη απονεύρωσης
Τα ποσοστά επιτυχίας μιας απονεύρωσης κυμαίνονται στο 90-95%. Ωστόσο υπάρχει και ένα ποσοστό 5-10% αποτυχίας μιας ενδοδοντικής θεραπείας. Μία απονεύρωση θεωρείται αποτυχημένη όταν το δόντι που έχει υποβληθεί στη συγκεκριμένη επέμβαση συνεχίζει να πονά. Σε άλλες περιπτώσεις μπορεί ένα απονευρωμένο δόντι να είναι ασυμπτωματικό για μήνες ή χρόνια και ξαφνικά να αρχίσει πάλι να δίνει συμπτώματα πόνου. Στις προαναφερθέντες περιπτώσεις μία από τις θεραπείες επιλογής είναι και η επανάληψη απονεύρωσης δοντιού.
Ποιά είναι τα συμπτώματα μιας αποτυχημένης απονεύρωσης;
Τα συνήθη συμπτώματα μιας αποτυχημένης ενδοδοντικής θεραπείας είναι ο πόνος, ο οποίος μπορεί να εμφανίζεται κατά τη μάσηση ή κατά τη λήψη ζεστών ή κρύων ροφημάτων. Σε άλλες περιπτώσεις μπορεί να παρουσιαστεί πρήξιμο ή ακόμη και συρίγγιο στην περιοχή κοντά στο προβληματικό δόντι.

Γιατί προκαλεί πόνο ένα δόντι που είναι ήδη απονευρωμένο;
Ο πόνος ενός ήδη απονευρωμένου δοντιού πιθανόν να οφείλεται σε:
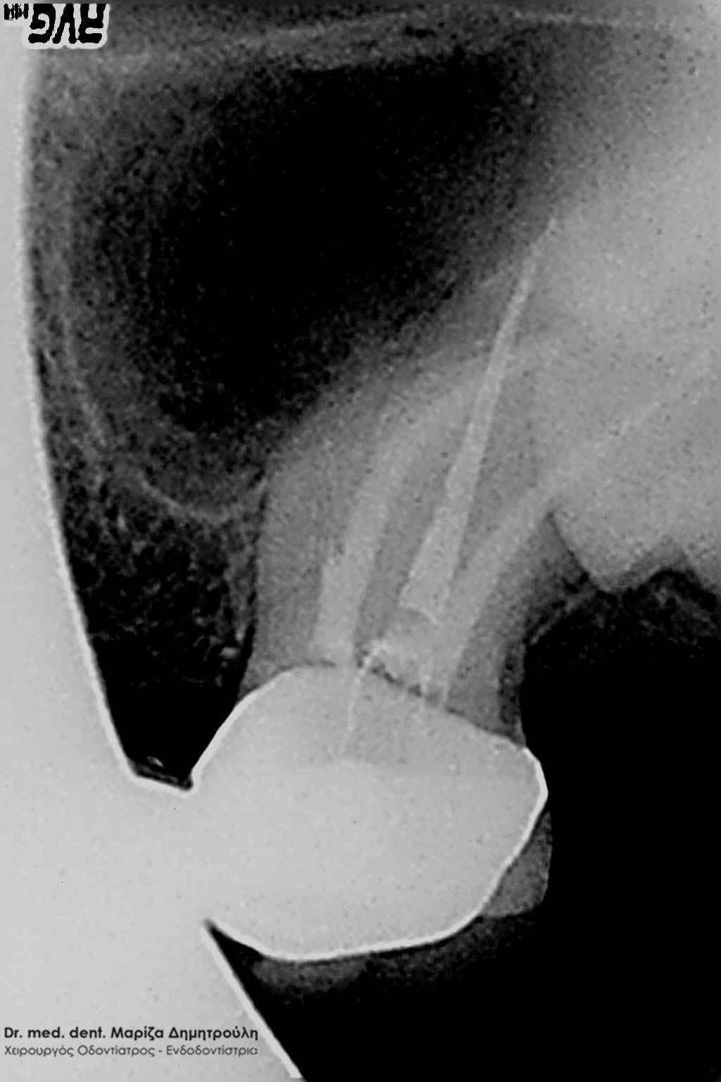
1. Ατελή απονεύρωση του δοντιού, δηλαδή κάτι δεν έγινε όπως θα έπρεπε στην πρώτη απονεύρωση του δοντιού με αποτέλεσμα να έχουν παραμείνει υπολείμματα νεύρου και μικροβίων στο εσωτερικό του δοντιού (ρίζες / ριζικοί σωλήνες). Αν κατά τη διάρκεια της απονεύρωσης γίνει σωστή και ενδελεχής χημικομηχανική επεξεργασία των ριζών του δοντιού και αφαιρεθούν όσο το δυνατόν περισσότερα μικρόβια, τοξίνες, νεκρά κύτταρα κ.α., τότε συνήθως ένα απονευρωμένο δόντι δεν παρουσιάζει προβλήματα και παραμένει ασυμπτωματικό. Σε διαφορετική περίπτωση παραμένει η φλεγμονή στο εσωτερικό των ριζικών σωλήνων του δοντιού με πιθανότητα να επεκταθεί και στους περιακρορριζικούς ιστούς του εν λόγω δοντιού. Ορισμένα δόντια εμφανίζουν στο άκρο της ρίζας τους μια μικρή σκιά (βλέπε παρακάτω), η οποία φανερώνει την ύπαρξη μικροβίων στο εσωτερικό ενός δοντιού.
Η ύπαρξη ή όχι περιακρορριζικής αλλοίωσης θα πρέπει να ελέγχεται από τον οδοντίατρο με τη λήψη μιας ακτινογραφίας.
Στο συγκεκριμένο περιστατικό είχε πραγματοποιηθεί από συνάδελφο απονεύρωση δοντιού και ο ασθενής αναφέρει τις έντονες ενοχλήσεις που του προκαλεί το δόντι το τελευταίο τρίμηνο. Η ακτινογραφία αποκάλυψε αφενός το μικρό μήκος της απονεύρωσης στην εγγύς ρίζα του δοντιού και αφετέρου την ύπαρξη περιακρορριζικής αλλοίωσης στην άπω ρίζα δοντιού, η οποία έχει τη μορφή μιας μαύρης σαφώς περιγεγραμμένης σκιάς. Η εμφάνιση της αλλοίωσης αυτής σημαίνει οτι το δόντι έχει φλεγμονή, η οποία πρέπει να αντιμετωπιστεί.
2. Ύπαρξη κατάγματος στο απονευρωμένο δόντι. Δεν είναι λίγες οι φορές που ο ασθενής παραπονείται οτι του πονάει το απονευρωμένο δόντι, ενώ συγχρόνως η ακτινογραφία αποκαλύπτει οτι η απονεύρωση του δοντιού είναι πολύ καλή. Στην περίπτωση αυτή είναι πιθανόν το απονευρωμένο δόντι είτε να έχει σπάσει είτε να έχει μία μικρή ρωγμή, η οποία επίσης μπορεί να προκαλεί ενοχλήσεις κατά τη μάσηση τροφών. Όταν ένα απονευρωμένο δόντι δεν προστατευτεί σωστά μετά την ολοκλήρωση της ενδοδοντικής θεραπείας με θήκη δοντιού ή με σφράγισμα (ανάλογες με τις ανάγκες του κάθε δοντιού) είναι πιθανόν να σπάσει. Γι αυτό το λόγο ο ασθενής δεν θα πρέπει να μασάει με το απονευρωμένο δόντι, προτού ολοκληρωθεί η τελική αποκατάσταση του δοντιού.
3. Επαναμόλυνση μιας παλιάς απονεύρωσης. Εφόσον μία απονεύρωση δοντιού έχει πραγματοποιηθεί πριν πολλά χρόνια είναι φυσιολογικό και αναμενόμενο το δόντι να επαναμολυνθεί και να ξαναρχίσει να δίνει κάποια στιγμή συμπτώματα πόνου. Ο ασθενής θα πρέπει να γνωρίζει οτι όλες οι οδοντιατρικές εργασίες έχουν μία ημερομηνία λήξης. Εφόσον η απονεύρωση δεν πραγματοποιήθηκε στο άμεσο παρελθόν (6 μήνες – 1 χρόνο) δεν είναι παράλογο το δόντι να πονάει δεδομένου οτι νέα μικρόβια μόλυναν το δόντι. Στις περιπτώσεις αυτές ανάλογα με την επιθυμία του ασθενή το δόντι μπορεί να εξαχθεί ή να σωθεί με επανάληψη απονεύρωσης.
Ποιές είναι οι αιτίες αποτυχίας μιας απονεύρωσης;
Οι κύριοι παράγοντες που μπορεί να προκαλέσουν την αποτυχία μιας απονεύρωσης είναι οι εξής:
1. Ελλιπής καθαρισμός των ριζικών σωλήνων. Είναι πιθανόν κατά τη διάρκεια της πρώτης απονεύρωσης ο οδοντίατρος να μην κατάφερε να εξαλείψει πλήρως τα μικρόβια που είχαν μολύνει το δόντι. Αυτό έχει ως αποτέλεσμα ένα μέρος των βακτηρίων να παραμένουν στο δόντι και να προκαλέσουν εκ νέου φλεγμονή του δοντιού.
2. Ριζικοί σωλήνες που δεν εντοπίστηκαν. Ένας ριζικός σωλήνας κατά τη διάρκεια της πρώτης απονεύρωσης μπορεί να μην εντοπίστηκε με αποτέλεσμα να μην καθαρίστηκε αλλά ούτε και να σφραγίστηκε. Αυτό σημαίνει ότι αυτή η ρίζα του δοντιού παραμένει αθεράπευτη και επομένως συνεχίζουν να υπάρχουν μέσα στο δόντι μικρόβια και υπολείμματα πολφού που πρέπει να εξαλειφθούν.


ΠΡΙΝ ΜΕΤΑ
Στον παραπάνω ασθενή έγινε επανάληψη απονεύρωσης και εντοπίστηκε και τέταρτος ριζικός σωλήνας, ο οποίος δεν είχε βρεθεί στην πρώτη ενδοδοντική θεραπεία.
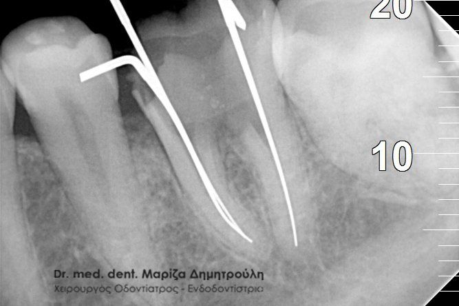
3. Υπεράριθμοι ριζικοί σωλήνες. Σε μερικά δόντια παρατηρούνται περισσότεροι ριζικοί σωλήνες απ΄ ότι συνηθίζεται. Αυτό σημαίνει ότι ενώ συνήθως ένα δόντι έχει 1 ριζικό σωλήνα, μπορεί κατ΄ εξαίρεση να εμφανίζει 2 ή και 3 ριζικούς σωλήνες. Στην προκειμένη περίπτωση μπορεί ο οδοντίατρος που εκτέλεσε την πρώτη απονεύρωση να έχει την εντύπωση οτι εντόπισε, απολύμανε και σφράγισε όλους τους ριζικούς σωλήνες του προβληματικού δοντιού, χωρίς όμως αυτό να ανταποκρίνεται τελικά και στην πραγματικότητα.

Ο συγκεκριμένος ασθενής παραπέμφθηκε στο ιατρείο γιατί συνέχιζε να πονάει, παρόλο που είχε ξεκινήσει η διαδικασία της ενδοδοντικής θεραπείας. Ο πόνος οφειλόταν στο γεγονός οτι το δόντι είχε 3 ριζικούς σωλήνες, ενώ συνήθως έχει έναν. Μετά τον εντοπισμό και την επεξεργασία όλων των ριζικών σωλήνων ο ασθενής σταμάτησε να έχει συμπτώματα πόνου.
4. Δόντια με ιδιαίτερη μορφολογία. Υπάρχουν δόντια στα οποία οι ρίζες τους είναι ιδιαίτερα στενές ή έχουν έντονη κάμψη. Οι ιδιομορφίες αυτές πολλές φορές καθιστούν ιδιαίτερα δύσκολο τον καθαρισμό και την έμφραξη των ριζών αυτών. Επομένως τα μικρόβια παραμένουν μέσα στους ριζικούς σωλήνες και είναι έτοιμα να πυροδοτήσουν στο μέλλον μία νέα φλεγμονή του δοντιού.

5. Ενασβεστιωμένοι ριζικοί σωλήνες. Τυχαίνει πολλές φορές με το πέρασμα των χρόνων κάποιοι ριζικοί σωλήνες (ρίζες) να ενασβεστιώνονται χωρίς κανέναν ιδιαίτερο λόγο και να “κλείνουν”, δηλαδή να γίνονται πιο στενοί. Στην προκειμένη περίπτωση χρειάζονται ιδιαίτερα εργαλεία και υπομονή ώστε να ολοκληρωθεί η ενδοδοντική θεραπεία σ΄ αυτούς τους ριζικούς σωλήνες. Είναι συχνό φαινόμενο οι ενασβεστιωμένοι ριζικοί σωλήνες να παραβλέπονται κατά τη διάρκεια της πρώτης απονεύρωσης.
6. Λάθος μέτρηση του μήκους των ριζικών σωλήνων. Είναι σημαντικό όλες οι εργασίες που εκτελούνται κατά τη διάρκεια μιας ενδοδοντικής θεραπείας να αφορούν όλο το μήκος της ρίζας του δοντιού και να μην περιορίζονται στο μισό ή στα 3/4 αυτής. Δεν είναι λίγες οι φορές που η λήψη μιας ακτινογραφίας για τον έλεγχο της πρώτης απονεύρωσης φανερώνει ότι η έμφραξη της ρίζας του δοντιού έχει γίνει στο μισό ή στα 3/4 του μήκους της ρίζας. Αυτό σημαίνει οτι αντίστοιχα ο καθαρισμός και η απολύμανση του ριζικού σωλήνα πραγματοποιήθηκαν κατά το ήμισυ και επομένως πρόκειται για μια ελλιπή ενδοδοντική θεραπεία. Είναι σημαντικό ο οδοντίατρος πριν από την έναρξη μιας απονεύρωσης να λαμβάνει μία ακτινογραφία ώστε να μπορεί να μετρά σωστά το μήκος της ρίζας του δοντιού. Μόνο τότε είναι δυνατόν ο ριζικός σωλήνας του δοντιού να καθαριστεί και να εμφραχθεί επιτυχώς σε όλο το μήκος του.


ΠΡΙΝ ΜΕΤΑ
Η ασθενής παραπονιόταν για συνεχή πόνο στο συγκεκριμένο δόντι, το οποίο είχε απονευρωθεί πριν χρόνια. Μετά από τη λήψη ακτινογραφίας διαπιστώθηκε οτι στην πρώτη ενδοδοντική θεραπεία δε είχε μετρηθεί σωστά το μήκος της ρίζας του δοντιού. Μετά την επανάληψη της απονεύρωσης το δόντι καθαρίστηκε και εμφράχθηκε σε όλος το μήκος της ρίζας, όπως δείχνει και η δεξιά αντινογραφία.
7. Διάτρηση του δοντιού ή της ρίζας. Διάτρηση στην ουσία είναι η δημιουργία μιας τρύπας στο δόντι ή στη ρίζα του δοντιού που φυσιολογικά δε θα έπρεπε να υπάρχει. Διάτρηση κατά τη διάρκεια μιας ενδοδοντικής θεραπείας μπορεί να προκληθεί από τον οδοντίατρο σε δύο περιπτώσεις. Η μία αφορά τη διάτρηση του δοντιού και προκύπτει όταν ο οδοντίατρος “ανοίγει” (τροχίζει) το δόντι στην προσπάθεια του να εντοπίσει τους ριζικούς σωλήνες του δοντιού. Είναι δηλαδή πιθανόν ο οδοντίατρος να τροχίσει το δόντι σε λάθος σημείο απ΄ αυτό που βρίσκονται οι ρίζες του δοντιού και να δημιουργήσει μια τρύπα. Η άλλη αφορά τη διάτρηση της ρίζας του δοντιού. Είναι δυνατόν κατά την επεξεργασία (καθάρισμα) των ριζικών σωλήνων με τα ειδικά μικροεργαλεία ενδοδοντίας, το εργαλείο να μην ακολουθήσει την καμπή της ρίζας και να την τρυπήσει. Τότε δημιουργείται μία τρύπα στη ρίζα του δοντιού. Και στις δύο περιπτώσεις η διάτρηση αποτελεί μία τρύπα, η οποία λειτουργεί ως μία πύλη εισόδου για τα μικρόβια. Τα βακτήρια βρίσκουν μ΄ αυτόν τον τρόπο μία δίοδο για να εισέλθουν στο δόντι και να προκαλέσουν εκ νέου φλεγμονή του.

Διαπίστωση της διάτρησης

Εντοπισμός του τρίτου ριζικού σωλήνα

Ολοκληρωμένη απονεύρωση
Η ασθενής απευθύνθηκε στο ιατρείο γιατί το συγκεκριμένο δόντι έδινε συμπτώματα πόνου παρόλο που είχε ξεκινήσει η διαδικασία της απονεύρωσης. Μετά την κλινική εξέταση του δοντιού διαπιστώθηκε διάτρηση μεταξύ των ριζικών σωλήνων του δοντιού, η οποία επιβεβαιώθηκε με τη λήψη ακτινογραφίας (πρώτη ακτινογραφία). Το σημείο της διάτρησης εμφράχθηκε με ειδικό υλικό. Στη συνέχεια εντοπίστηκε ο τρίτος ριζικός σωλήνας, ο οποίος δεν είχε βρεθεί ως εκείνη τη στιγμή (δεύτερη ακτινογραφία). Στην επόμενη συνεδρία οι ριζικοί σωλήνες του δοντιού καθαρίστηκαν με μηχανοκίνητα εργαλεία, απολυμάνθηκαν και εμφράχτηκαν με γουταπέρκα. Ακολούθησε η αποκατάσταση του δοντιού.
8. Ατελή σφραγίσματα ή θήκες δοντιών. Μετά την ολοκλήρωση μιας απονεύρωσης ακολουθεί η αποκατάσταση του δοντιού, η οποία πραγματοποιείται με σφράγισμα ή με θήκη ανάλογα πάντα με την έκταση της οδοντικής βλάβης. Δεν είναι λίγες οι φορές που μετά από χρόνια το σφράγισμα ή η θήκη που καλύπτει το απονευρωμένο δόντι επανατερηδονίζεται με αποτέλεσμα να μολύνεται από κάτω εκ νέου και η ήδη υπάρχουσα απονεύρωση. Τότε το δόντι πονά και είναι απαραίτητη η επανάληψη της απονεύρωσης και η νέα προσθετική αποκατάσταση του δοντιού.


Ποιά είναι η διαδικασία της επανάληψης απονεύρωσης;
- Εάν είναι απαραίτητο ο οδοντίατρος αναισθητοποιεί την περιοχή του δοντιού, στο οποίο θα πραγματοποιηθεί η απονεύρωση
- Τοποθετείται απομονωτήρας, ένα ειδικό λάστιχο που απομονώνει το δόντι από την υπόλοιπη στοματική κοιλότητα

- Ακολουθεί το τρόχισμα και η διάνοιξη του δοντιού.
- Γίνεται εντοπισμός της παλιάς απονεύρωσης. Επιπλέον ο ενδοδοντολόγος ελέγχει αν υπάρχουν ριζικοί σωλήνες που δεν εντοπίστηκαν στην πρώτη απονεύρωση, την παρουσία τυχόν διάτρησης και άλλων επιπλοκών.
- Ακολουθεί η αφαίρεση της παλιάς απονεύρωσης με ειδικά μηχανοκίνητα εργαλεία. Στη συνέχεια με τη λήψη μιας ακτινογραφίας ελέγχεται αν αφαιρέθηκε το παλιό εμφρακτικό υλικό σε όλο το μήκος της ρίζας.
- H υπόλοιπη διαδικασία δε διαφέρει από τη συνηθισμένη ενδοδοντική θεραπεία. Ο ενδοδοντολόγος θα καθαρίσει με μηχανοκίνητα μικροεργαλεία τους ριζικούς σωλήνες από μικρόβια, υπολείμματα πολφού, νεκρούς ιστούς και κύτταρα. Στη συνέχεια θα απολυμάνει με ειδικά απολυμαντικά υγρά τις ρίζες του δοντιού, θα τοποθετήσει φάρμακο και θα σφραγίσει προσωρινά το δόντι.


- Στη επόμενη συνεδρία, εφόσον ο ασθενής δεν πονά ο οδοντίατρος θα προχωρήσει στην ολοκλήρωση της απονεύρωσης με την έμφραξη των ριζικών σωλήνων με ειδικό εμφρακτικό υλικό (γουταπέρκα). Συγχρόνως θα σφραγίσει τη μύλη του δοντιού (τμήμα του δοντιού πάνω από τα ούλα) με προσωρινό εμφρακτικό υλικό. Σε δεύτερο στάδιο θα πραγματοποιηθεί η τελική αποκατάσταση του δοντιού με λευκό σφράγισμα ρητίνης ή με στεφάνη (θήκη δοντιού).







