Το απόστημα είναι ο συχνότερος λόγος επίσκεψης των ασθενών στον οδοντίατρο. Με τον όρο απόστημα εννοούμε τη συγκέντρωση πύου γύρω από ένα δόντι ( στα ούλα ή στη ρίζα του δοντιού) και οφείλεται στην ύπαρξη φλεγμονής. Το πύον αποτελείται από νεκρά κύτταρα, λευκά αιμοσφαίρια, παθογόνα μικρόβια.
Ποιοί είναι οι τύποι αποστημάτων ;
Οι τύποι οδοντικού αποστήματος είναι οι παρακάτω:
- Ακρορριζικό απόστημα . Ο τύπος αυτός αποστήματος είναι η πιο συχνά εμφανιζόμενη μορφή αποστήματος και δημιουργείται γύρω από το άκρο της ρίζας του δοντιού, όταν μολυνθεί ο πολφός του δοντιού λόγω εκτεταμένης, βαθιάς τερηδόνας.

περιάκρορριζικό απόστημα με εκροή πύου
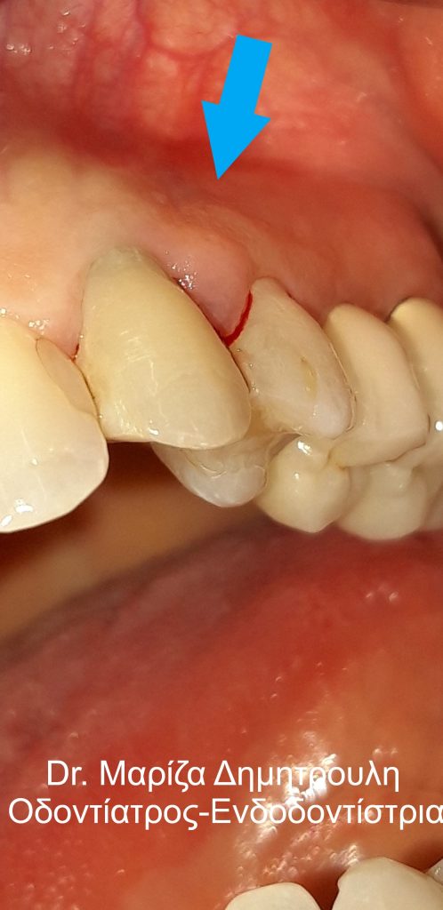
- Περιοδοντικό απόστημα. Αυτή η μορφή αποστήματος εμφανίζεται συνήθως στα ούλα ή στο οστό που περιβάλλει ένα δόντι. Η αιτία του περιοδοντικού αποστήματος είναι η περιοδοντίτιδα ή ο πιθανός τραυματισμός των ούλων.

περιοδοντικό απόστημα
- Περιμυλικό απόστημα (περιστεφανίτιδα). Αυτή η μορφή αποστήματος εμφανίζεται συνήθως γύρω από τη μύλη ενός ημιέγκλειστου δοντιού (συνήθως φρονιμίτες) λόγω ύπαρξης φλεγμονής στα ούλα γύρω από το προβληματικό δόντι. Αποτελεί ένα είδος περιοδοντικού αποστήματος.
Ποια είναι τα συμπτώματα του αποστήματος δοντιού ;
Το απόστημα ενός δοντιού είναι μία επώδυνη κατάσταση και έχει συνήθως τα παρακάτω χαρακτηριστικά :
- Οίδημα στην περιοχή
- Έντονος πόνος κατά τη μάσηση ή συνεχής, επίμονος πόνος ακόμη και αυθόρμητα χωρίς να προηγείται κάποιο ερέθισμα ( όπως λήψη τροφής, ποτού)
- Εκροή πύου
- Άσχημη γεύση κατά τη μάσηση τροφών ή κατά την πόση ροφημάτων
- Δυσάρεστη αναπνοή, που δηλώνει πολλές φορές την ύπαρξη κάποιας φλεγμονής στο στόμα
- Ερυθρότητα και έντονο πρήξιμο των ούλων στην περιοχή του προβληματικού δοντιού
Αξίζει να σημειωθεί οτι καθώς αυξάνεται το πύον που συσσωρεύεται γύρω από το δόντι, αυξάνεται αναλογικά και η πίεση που ασκείται στο προβληματικό δόντι με αποτέλεσμα το απόστημα να γίνεται όλο και περισσότερο επώδυνο. Σε ορισμένες περιπτώσεις το πύον μπορεί να βρει διοχέτευση μέσω της ουλοδοντικής σχισμής είτε μέσω του στομίου ενός συριγγίου, οπότε και παρατηρείαι μία παροδική ανακούφιση του πόνου. Παρόλου που υπάρχει μία ύφεση του οδοντικού πόνου η φλεγμονή συνεχίζει να υφίσταται δεδομένου οτι δεν έχει θεραπευτεί από τον οδοντίατρο. Η παραμονή μιας μόλυνσης μέσα στο στόμα συνεπάγεται την καταστροφή είτε του δοντιού (εφόσον πρόκειται για περιακρορριζικό απόστημα) είτε των περιδοντικών ιστών (εφόσον πρόκειται για περιοδοντκό απόστημα). Συμπερασματικά όταν ένα απόστημα εμφανίζεται στο στόμα είναι ανάγκη ο ασθενής να επισκεφτεί τον οδοντίατρο τόσο για την άμεση ανακούφισή του όσο και για τη θεραπεία του προβλήματος.
Ποιές είναι οι αιτίες ενός οδοντικού αποστήματος ;
Το απόστημα δοντιού είναι το αποτέλεσμα μιας προϋπάρχουσας φλεγμονής στο στόμα που αφέθηκε για μεγάλο χρονικό διάστημα αθεράπευτη. Το απόστημα δημιουργείται γιατί διαταράσσεται η ισορροπία μεταξύ του ανοσοποιητικού συστήματος του οργανισμού και των παθογόνων μικροβίων που προκάλεσαν την οδοντική λοίμωξη, με τα μικρόβια βεβαίως να υπερτερούν έναντι των λευκών αιμοσφαιρίων του σώματος. Το οίδημα, ο πόνος και η συλλογή πύου στην περιοχή του προβληματικού δοντιού είναι άμεσες συνέπειες ενός αθεράπευτου οδοντικού προβλήματος.
Τα συχνότερα αίτια εμφάνισης ενός οδοντικού αποστήματος είναι η τερηδόνα και η περιοδοντίτιδα.
Τερηδόνα. Η τερηδόνα μπορεί να προκαλέσει την εμφάνιση ενός ακρορριζικού αποστήματος. Εφόσον η τερηδόνα προσβάλλει ένα δόντι, δημιουργείται σε κάποιο χρονικό διάστημα κοιλότητα (τρύπα), η οποία αν δεν αντιμετωπιστεί άμεσα τότε τα τερηδονογόνα μικρόβια επεκτείνονται βαθύτερα ως το ύψος του νεύρου του δοντιού, προσβάλλουν τον πολφό (νεύρο του δοντιού) και τελικά το δόντι νεκρώνεται. Στη συνέχεια τα μικρόβια με τον καιρό περνούν από το άκρο της ρίζας του δοντιού και μολύνουν το οστό και τους ιστούς που περιβάλλουν τη ρίζα του δοντιού προκαλώντας με αυτόν το μηχανισμό την εμφάνιση του ακρορριζικού αποστήματος σε ένα δόντι.
Περιοδοντίτιδα. Η περιοδοντίτιδα είναι η πάθηση των ούλων, κατά την οποία το οστό που περιβάλλει και στηρίζει τα δόντια υποχωρεί ενώ ταυτόχρονα τα ούλα “κατεβαίνουν” και εμφανίζεται η λεγόμενη υφίζηση ούλων. Με αυτόν τον τρόπο δημιουργείται ένας θύλακος (“τσέπη”) μεταξύ των ούλων, του φατνιακού οστού και του δοντιού μέσα στον οποίο συγκεντρώνονται μικρόβια. Τα μικρόβια αυτά αν δεν καθαριστούν και απομακρυνθούν με τον τακτικό βαθύ περιοδοντικό καθαρισμό μολύνουν το περιβάλλον οστό και τα ούλα του προβληματικού δοντιού με συνέπεια την εμφάνιση περιοδοντικού αποστήματος και την αντίστοιχη εκροή πύου.
Ποιά είναι η θεραπεία του αποστήματος δοντιού ;
Το απόστημα ενός δοντιού μπορεί να θεραπευτεί με τους παρακάτω 2 τρόπους :
- Απονεύρωση δοντιού. Οι οδοντίατροι με την απονεύρωση δοντιού απομακρύνουν τους μολυσμένους ιστούς και τα νεκρά κύτταρα από τον πολφό και τις ρίζες του δοντιού. Με αυτόν τον τρόπο εξαλείφεται η φλεγμονή του δοντιού και το δόντι εφόσον δεν λείπει μεγάλο τμήμα της μύλης του, μπορεί να διατηρηθεί μέσα στο στόμα. (Για περισσότερες πληροφορίες Βλέπε Τι είναι απονεύρωση;)
- Εξαγωγή δοντιού. Στη σύγχρονη οδοντιατρική η εξαγωγή είναι η τελευταία λύση επιλογής του οδοντιάτρου. Οι οδοντίατροι καταφεύγουν στην εξαγωγή εφόσον το δόντι είναι βαθιά και εκτεταμένα κατεστραμμένο και η φλεγμονή στην περιοχή δεν μπορεί να καταπολεμηθεί με απονεύρωση. (Για περισσότερες πληροφορίες Βλέπε Εξαγωγή δοντιού).
Τρόποι ανακούφισης του πόνου από οδοντικό απόστημα
Ο μοναδικός τρόπος ανακούφισης ενός ασθενή που πονάει γιατί στο στόμα του υπάρχει ένα απόστημα δοντιού είναι η άμεση επίσκεψη στον οδοντίατρο. Ο οδοντίατρος μετά από τη χορήγηση της απαιτούμενης αναισθησίας θα προβεί στις παρακάτω ενέργειες:
- Μικρή τομή στα ούλα σε περίπτωση που πρόκειται για περιδοντικό απόστημα.
- Διάνοιξη / τρόχισμα του δοντιού και έναρξη απονεύρωσης δοντιού σε περίπτωση ενός περιάκρορριζικού αποστήματος.
Οι οδοντίατροι και στις δύο περιπτώσεις με τις ενέργειές τους προσπαθούν να παροχετεύσουν το πύον, ώστε να εκτονωθεί η πίεση που ήταν συγκεντρωμένη γύρω από το δόντι και τους περιβάλλοντες ιστούς. Με αυτόν τον τρόπο ο ασθενής ανακουφίζεται άμεσα από τον οξύ πόνο.
Σε περίπτωση που ο ασθενής δεν έχει τη δυνατότητα να επισκεφτεί άμεσα τον οδοντίατρο μπορεί να λάβει κάποιο παυσίπονο και αντιφλεγμονώδες φάρμακο. Σε προχωρημένα περιστατικά με έντονο οίδημα στην περιοχή του προβληματικού δοντιού ή με έκτεταμένο πρήξιμο ακόμη και εξωστοματικά συστήνεται η χορήγηση αντιβιοτικού. Τα φάρμακα ανακουφίζουν πολλές φορές άμεσα από τον πόνο και την ταλαιπωρία τον ασθενή, όμως δεν μπορούν να θεραπεύσουν μία περιοδοντίτιδα ή μία βαθιά τερηδόνα.
Θα πρέπει να γίνει κατανοητό οτι το απόστημα δοντιού είναι μία οδοντιατρική ασθένεια που χρήζει αναγκαία την οδοντιατρική θεραπεία. Όσο αφήνουμε ένα οδοντικό πρόβλημα αυτό δε θεραπεύεται αλλά χειροτερεύει και στο μέλλον απαιτείται τόσο περισσότερος χρόνος όσο και κόπος για την αντιμετώπισή του.






