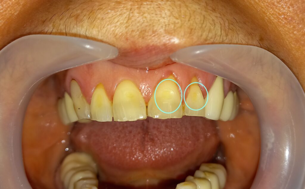
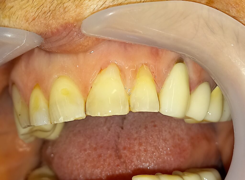
Η ασθενής αναφέρει οτι τις τελευταίες εβδομάδες ενοχλείται στα πρόσθια δόντια, όταν πίνει νερό. Η κλινική εξέταση αποκάλυψε μέτριες αλλοιώσεις στην χειλική επιφάνεια των άνω πρόσθιων δοντιών. Στην ερώτηση τι τύπου οδοντόβουρτσα χρησιμοποιεί η ασθενής απάντησε ¨ ” Έχω σκληρή βούρτσα και τα τρίβω όσο πιο δυνατά γίνεται για να τα καθαρίζω καλά! “. Η άποψη αυτή αποτελεί μία παλιά νοοτροπία , την οποία η σύγχρονη οδοντιατρική δεν ακολουθεί πλέον, γιατί η σκληρή οδοντόβουρτσα και οι γρήγορες, δυνατές κινήσεις πλυσίματος καταστρέφουν τα δόντια. Όπως χαρακτηριστικά δείχνουν και οι φωτογραφίες με το πέρασμα του χρόνου μία σκληρή οδοντόβουρτσα μπορεί να ” φάει ” τα δόντια και τελικά οδηγεί σε αρνητικά παρά θετικά αποτελέσματα για τα δόντια του ασθενή.
Γενικότερα συστήνεται η χρήση μαλακής οδοντόβουρτσας, η οποία θα πρέπει να καθαρίζει με απαλές και αργές κινήσεις τα δόντια. Οτιδήποτε βίαιο και γρήγορο αποφέρει με τα χρόνια αρνητικές συνέπειες στην οδοντοφυΐα του ασθενή.
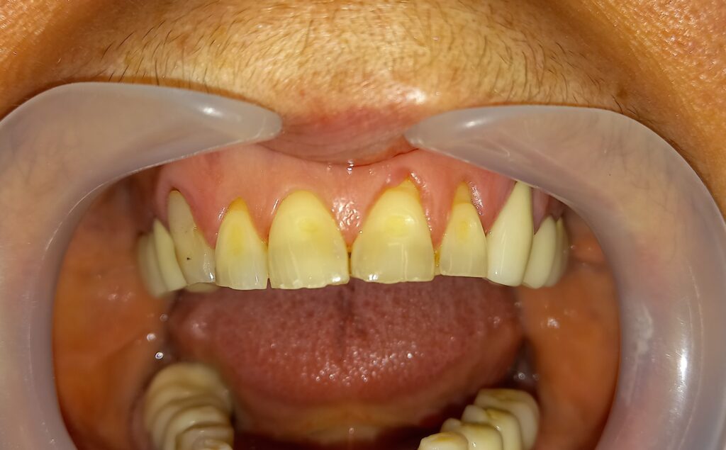
Η αποκατάσταση των συγκεκριμένων αλλοιώσεων πραγματοποιήθηκε με λευκά αισθητικά σφραγίσματα σε μία συνεδρία. Η ασθενής ανακουφίστηκε και είναι ευχαριστημένη από το αισθητικό αποτέλεσμα.

ΠΡΙΝ

ΜΕΤΑ


